Skip to Content
Merck
CN

04-735

Anti-monomethyl-Histone H4 (Lys20) Antibody, clone NL314, rabbit monoclonal

culture supernatant, clone NL314, Upstate®

Synonym(s):

H4K20me1, Histone H4 (mono methyl K20), histone 4, H4, histone H4, histone cluster 4, H4

Sign In to View Organizational & Contract Pricing.

Select a Size


About This Item

UNSPSC Code:
12352203
NACRES:
NA.41
eCl@ss:
32160702
Clone:
NL314, monoclonal
Species reactivity:
human
Application:
WB, multiplexing
Citations:
14
Technical Service
Need help? Our team of experienced scientists is here for you.
Let Us Assist
Technical Service
Need help? Our team of experienced scientists is here for you.
Let Us Assist

biological source

rabbit

antibody form

culture supernatant

antibody product type

primary antibodies

clone

NL314, monoclonal

species reactivity

human

manufacturer/tradename

Upstate®

technique(s)

multiplexing: suitable, western blot: suitable

isotype

IgG

NCBI accession no.

UniProt accession no.

shipped in

dry ice

target post-translational modification

monomethylation (Lys20)

Quality Level

Gene Information

human ... H4C1(8359)

General description

10kDa
Histones are highly conserved proteins that serve as the structural scaffold for the organization of nuclear DNA into chromatin. The four core histones, H2A, H2B, H3, and H4, assemble into an octamer (2 molecules of each). Histones are modified post-translationally by the actions of enzymes in both the nucleus and cytoplasm. These modifications, which include acetylation, phosphorylation, methylation, and ubiquitin-ation, occur predominantly on the N-terminal and C-terminal tails that extend beyond the nucleosome core particle. Trimethylation of histone H4 on lys20 (H4-K20me3) selectively marks constitutive pericentromeric hetero-chromatin and imprinting control regions, while mono- and dimethylation are broadly distributed but principally enriched in euchromatin regions. Although the biological function of H4K20me remains poorly understood, studies suggest that H4-K20me2 is involved in the guidance of DNA repair proteins to DNA strand breaks, whereas H4K20me1 is associated with chromatin condensation processes. PR-Set7 (also known as SET8) specifically catalyzes monomethylation of H4K20me1.

Immunogen

KLH-conjugated, synthetic peptide containing the sequence …HR[mmK]V…, in which mmK corresponds to monomethyl-lysine at residue 20 of human histone H4.

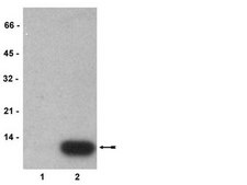
Application

Immunoblot Analysis:
A 1:4000 dilution of a previous lot detected methylated histone H3 in acid extracted proteins from HeLa cells. The antibody did not detect unmethylated recombinant Histone H3.

Multiplexing:
Beadlyte Histone-Peptide Specificity Assay: 1:2,000-1:30,000 dilutions of a previous lot were incubated with histone H4 peptides containing various modifications conjugated to Luminex microspheres. Specificity to monomethyl-histone H4 (Lys20) was demonstrated (Figure C).
Research Category
Epigenetics & Nuclear Function
Research Sub Category
Histones
Use Anti-monomethyl-Histone H4 (Lys20) Antibody, clone NL314 (rabbit monoclonal antibody) validated in WB, Mplex to detect monomethyl-Histone H4 (Lys20) also known as H4K20me1, Histone H4 (mono methyl K20).

Biochem/physiol Actions

Recognizes monomethyl-histone H4 (Lys20), Mr ~10kDa.
The immunizing sequence is conserved from Tetrahymena to human, so broad species cross-reactivity is expected.

Physical form

Cultured supernantant in 0.05% sodium azide

Preparation Note

Stable for 1 year at -20°C from date of receipt.
For maximum recovery of product, centrifuge the vial prior to removing the cap.

Analysis Note

Control
HeLa acid extracts
Routinely evaluated by immunoblot analysis.
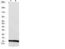
Immunoblot Analysis:
A 1:1000-1:2000 dilution of this lot detected monomethyl histone H4 (Lys20) in HeLa acid extracts. (Figure A).

Legal Information

UPSTATE is a registered trademark of Merck KGaA, Darmstadt, Germany

Disclaimer

Unless otherwise stated in our catalog or other company documentation accompanying the product(s), our products are intended for research use only and are not to be used for any other purpose, which includes but is not limited to, unauthorized commercial uses, in vitro diagnostic uses, ex vivo or in vivo therapeutic uses or any type of consumption or application to humans or animals.

Not finding the right product?  

Try our Product Selector Tool.

Storage Class

12 - Non Combustible Liquids

wgk

WGK 1

flash_point_f

Not applicable

flash_point_c

Not applicable


Certificates of Analysis (COA)

Search for Certificates of Analysis (COA) by entering the products Lot/Batch Number. Lot and Batch Numbers can be found on a product’s label following the words ‘Lot’ or ‘Batch’.

Already Own This Product?

Find documentation for the products that you have recently purchased in the Document Library.

Visit the Document Library

Lindsay F Rizzardi et al.
The Journal of biological chemistry, 290(1), 556-567 (2014-11-21)
Replication-coupled destruction of a cohort of cell cycle proteins ensures efficient and precise genome duplication. Three proteins destroyed during replication via the CRL4(CDT2) ubiquitin E3 ligase, CDT1, p21, and SET8 (PR-SET7), are also essential or important during mitosis, making their
Histone H4 lysine 20 of Saccharomyces cerevisiae is monomethylated and functions in subtelomeric silencing.
Edwards, CR; Dang, W; Berger, SL
Biochemistry null
Bing Xiao et al.
Genes & development, 19(12), 1444-1454 (2005-06-04)
Methylation of lysine residues of histones is an important epigenetic mark that correlates with functionally distinct regions of chromatin. We present here the crystal structure of a ternary complex of the enzyme Pr-Set7 (also known as Set8) that methylates Lys
Lauren E Davis et al.
Melanoma research, 30(2), 159-165 (2020-03-07)
Histone posttranslational modifications (PTMs) have been shown to be dysregulated in multiple cancers including melanoma, and as they are abundant and easily detectable, they make ideal biomarkers. The aim of this study was to identify histone PTMs that could be
Mayra L Lúa et al.
Biomedica : revista del Instituto Nacional de Salud, 38(2), 216-223 (2018-09-06)
Introduction: Viral encephalitis is a well-known inflammatory process associated with neurological dysfunction that might derive into severe brain damage or a fatal outcome. In México there is no epidemiological data that describes the prevalence of viral agents responsible for acute

Related Content

Signaling Product Guide: Antibodies, small molecule inhibitors, kits, assays and proteins for signaling research.

"Epigenetics describes heritable changes in gene expression caused by non-genetic mechanisms instead of by alterations in DNA sequence. These changes can be cell- or tissue-specific, and can be passed on to multiple generations. Epigenetic regulation enriches DNAbased information, allowing a cell to vary its response across diverse biological and environmental contexts. Although epigenetic mechanisms are primarily centered in the nucleus, these mechanisms can be induced by environmental signals such as hormones, nutrients, stress, and cellular damage, pointing to the involvement of cytoplasmic and extracellular factors in epigenetic regulation."

Our team of scientists has experience in all areas of research including Life Science, Material Science, Chemical Synthesis, Chromatography, Analytical and many others.

Contact Technical Service