生物来源
rabbit
质量水平
重组
expressed in HEK 293 cells
偶联物
unconjugated
抗体形式
purified antibody
抗体产品类型
primary antibodies
克隆
recombinant monoclonal
产品线
ZooMAb® learn more
表单
lyophilized
分子量
calculated mol wt 49.67 kDa
observed mol wt ~52 kDa
种属反应性
rat, human, mouse
包装
antibody small pack of 25 μL
环保替代产品特性
Waste Prevention
Designing Safer Chemicals
Design for Energy Efficiency
Learn more about the Principles of Green Chemistry.
增强验证
recombinant expression
Learn more about Antibody Enhanced Validation
sustainability
Greener Alternative Product
技术
affinity binding assay: suitable
immunohistochemistry (formalin-fixed, paraffin-embedded sections): suitable
western blot: suitable
同位素/亚型
IgG
UniProt登记号
环保替代产品分类
运输
ambient
储存温度
2-8°C
靶向翻译后修饰
unmodified
基因信息
human ... TUBB3(10381)
一般描述
Tubulin beta chain (UniProt: P07437; also known as Tubulin beta-5 chain) is encoded by the TUBB (also known as TUBB5, OK/SW-cl.56) gene (Gene ID: 203068) in human. Tubulin is the major constituent of microtubules (MTs). MTs are cytoskeletal filaments composed of alpha/beta-tubulin heterodimers that self-assemble head-to-tail to form protofilaments and laterally to form a hollow tube. Alpha/beta heterodimers associate head-to-tail to form protofilaments running lengthwise along the microtubule wall with the beta-tubulin subunit facing the microtubule plus end conferring a structural polarity. Tubulin binds two moles of GTP, one at an exchangeable site on the beta-chain and one at a non-exchangeable site on the alpha-chain. Tubulin dimers constantly polymerize and depolymerize, and MTs can undergo rapid cycles of assembly and disassembly. The first stage of MT formation, the nucleation phase, is slow. In the presence of Mg2+ and GTP, alpha- and beta-tubulins join in an end-to-end manner to form protofilaments with alternating alpha and beta subunits. GTP bound to beta-tubulin is hydrolyzed to GDP during or immediately after polymerization. This weakens the binding affinity of tubulin for adjacent molecules and favors depolymerization that contributes to the dynamic behavior of MTs. MTs also undergo treadmilling, in which tubulin molecules bound to GDP are continually lost from the minus end and are replaced by the addition of GTP-bound tubulin molecules to the plus end of the same MT. Various post-translational modifications, including acetylation, polyglutamylation, polyglycylation, detyrosination, phosphorylation, and palmitoylation, can regulate the polymerization properties of tubulins and/or their interactions with microtubule associated proteins and motor proteins. Beta-Tubulin is reported to undergo phosphorylation on serine 172 by CDK1 during the cell cycle, from metaphase to telophase, but not in interphase. This phosphorylation inhibits tubulin incorporation into microtubules. This ZooMAb recombinant monoclonal antibody, generated by our propriety technology, offers significantly enhanced specificity, affinity, reproducibility, and stability over conventional monoclonals.
We are committed to bringing you greener alternative products, which adhere to one or more of The 12 Principles of Green Chemistry.This antibody is Preservative-free, produced without the harm or sacrifice of animals and exceptionally stable to allow for ambient shipping and storage if needed and thus aligns with "Waste Prevention", "Designing Safer Chemicals" and "Design for Energy Efficiency". Click here for more information.
ZooMAb antibodies represent an entirely new generation of recombinant monoclonal antibodies.
Each ZooMAb antibody is manufactured using our proprietary recombinant expression system, purified to homogeneity, and precisely dispensed to produce robust and highly reproducible lot-to-lot consistency. Only top-performing clones are released for use by researchers. Each antibody is validated for high specificity and affinity across multiple applications, including its most commonly used application. ZooMAb antibodies are reliably available and ready to ship when you need them.
Learn more about ZooMAb here.
Each ZooMAb antibody is manufactured using our proprietary recombinant expression system, purified to homogeneity, and precisely dispensed to produce robust and highly reproducible lot-to-lot consistency. Only top-performing clones are released for use by researchers. Each antibody is validated for high specificity and affinity across multiple applications, including its most commonly used application. ZooMAb antibodies are reliably available and ready to ship when you need them.
Learn more about ZooMAb here.
免疫原
His-tagged recombinant fragment corresponding to 150 amino acids from the C-terminal region of human beta-tubulin.
应用
Anti-Tubulin, clone 10G11 ZooMAb, Cat. No. ZRB1416, is a recombinant Rabbit monoclonal antibody that targets beta-tubulin and has been tested in Affinity Binding Assay, Immunohistochemistry (Paraffin), and Western Blotting.
Western Blotting Analysis: A 1:1,000 dilution from a representative lot detected beta Tubulin in PC12 cell lysate.
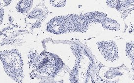
Immunohistochemistry (Paraffin) Analysis: A 1:1,000 dilution from a representative lot detected beta- Tubulin in human testis and human kidney tissue sections.
Affinity Binding Assay: A representative lot of this antibody bound recombinant human beta-tubulin fragment with a KD of 2.3 x 10-6 in an affinity binding assay.
Note: Actual optimal working dilutions must be determined by end user as specimens, and experimental conditions may vary with the end user.
Immunohistochemistry (Paraffin) Analysis: A 1:1,000 dilution from a representative lot detected beta- Tubulin in human testis and human kidney tissue sections.
Affinity Binding Assay: A representative lot of this antibody bound recombinant human beta-tubulin fragment with a KD of 2.3 x 10-6 in an affinity binding assay.
Note: Actual optimal working dilutions must be determined by end user as specimens, and experimental conditions may vary with the end user.
生化/生理作用
Clone 10G11 is a ZooMAb rabbit recombinant monoclonal antibody that specifically detects β-tubulin. It targets an epitope within the C-terminal region.
外形
Purified recombinant rabbit monoclonal antibody IgG, lyophilized in PBS with 5% Trehalose, normal appearance a coarse or translucent resin. Contains no biocide or preservatives, such as azide, or any animal by-products. Larger pack sizes provided as multiples of 25 μL.
制备说明
Recommended storage of lyophilized product at 2-8°C; Before reconstitution, micro-centrifuge vials briefly to spin down material to bottom of the vial; Reconstitute each vial by adding 25 μL of filtered lab grade water or PBS; Reconstituted antibodies can be stored at 2-8°C, or -20°C for long term storage. Avoid repeated freeze-thaws.
Reconstitute lyophilized antibody pellet with 25μL of ultrapure water or Phosphate Buffered Saline (PBS). Please refer to our reconstitution protocol and the specific application guidance on the suggested starting dilutions and sample type.
法律信息
ZooMAb is a registered trademark of Merck KGaA, Darmstadt, Germany
免责声明
Unless otherwise stated in our catalog or other company documentation accompanying the product(s), our products are intended for research use only and are not to be used for any other purpose, which includes but is not limited to, unauthorized commercial uses, in vitro diagnostic uses, ex vivo or in vivo therapeutic uses or any type of consumption or application to humans or animals.
未找到合适的产品?
试试我们的产品选型工具.
储存分类代码
11 - Combustible Solids
WGK
WGK 2
法规信息
常规特殊物品
此项目有
我们的科学家团队拥有各种研究领域经验,包括生命科学、材料科学、化学合成、色谱、分析及许多其他领域.
联系客户支持