biological source
mouse
Quality Level
recombinant
expressed in HEK 293 cells
conjugate
unconjugated
antibody form
purified antibody
antibody product type
primary antibodies
clone
4E10, recombinant monoclonal
product line
ZooMAb® learn more
form
lyophilized
mol wt
calculated mol wt 198.04 kDa, observed mol wt ~300 kDa
purified by
using protein G
species reactivity
human, mouse
packaging
antibody small pack of 25 μL
greener alternative product characteristics
Waste Prevention
Designing Safer Chemicals
Design for Energy Efficiency
Learn more about the Principles of Green Chemistry.
enhanced validation
recombinant expression
Learn more about Antibody Enhanced Validation
sustainability
Greener Alternative Product
technique(s)
immunofluorescence: suitable, immunohistochemistry: suitable, western blot: suitable
isotype
IgG1κ
epitope sequence
Unknown
Protein ID accession no.
UniProt accession no.
greener alternative category
shipped in
ambient
storage temp.
2-8°C
target post-translational modification
unmodified
Gene Information
human ... LAMB1(3912)
General description
Laminin subunit b1 (UniProt: P07942; also known as Laminin B1 chain, Laminin-1 subunit beta) is encoded by the LAMB1 gene (Gene ID: 3912) in human. Laminins are the major non-collagenous constituent of basement membranes that participate in wide variety of biological processes, including cell adhesion, differentiation, migration, signaling, neurite outgrowth and metastasis. They are a family of heterotrimeric extracellular glycoproteins consisting of α, β, and γ chains that are bound to each other by disulfide bonds into a cross-shaped molecule comprising one long and three short arms with globules at each end. Laminins mediate the attachment, migration, and organization of cells into tissues during embryonic development by interacting with other extracellular matrix components. Thus far five α, three β, and three γ subunits are described that assemble into at least 15 different laminin molecules. Different α, β, and γ chain isomers combine to give rise to different heterotrimeric laminin isoforms, which are designated by Arabic numerals in the order of their discovery. Laminin- β1 is synthesized with a signal peptide (aa 1-21), which is subsequently cleaved off to generate the mature form. It is expressed in most tissues that produce basement membranes and is one of the 3 chains constituting laminin 1. It is shown to be involved in the organization of the laminar architecture of cerebral cortex and is probably required for the integrity of the basement membrane/glia limitans that serves as an anchor point for the end feet of radial glial cells and as a physical barrier to migrating neurons. This ZooMAb® recombinant monoclonal antibody, generated by our propriety technology, offers significantly enhanced specificity, affinity, reproducibility, and stability over conventional monoclonals.(Ref.: Radmanesh, F., et al. (2013). Am. J. Hum. Genet. 92(3); 468-474; Virtanen, I., et al. (1995). J. Histochem. Cytochem. 43(6); 621-628).
We are committed to bringing you greener alternative products, which adhere to one or more of The 12 Principles of Green Chemistry.This antibody is Preservative-free, produced without the harm or sacrifice of animals and exceptionally stable to allow for ambient shipping and storage if needed and thus aligns with "Waste Prevention", "Designing Safer Chemicals" and "Design for Energy Efficiency". Click here for more information.
ZooMAb® antibodies represent an entirely new generation of recombinant monoclonal antibodies. Each ZooMAb® antibody is manufactured using our proprietary recombinant expression system, purified to homogeneity, and precisely dispensed to produce robust and highly reproducible lot-to-lot consistency. Only top-performing clones are released for use by researchers. Each antibody is validated for high specificity and affinity across multiple applications, including its most commonly used application. ZooMAb® antibodies are reliably available and ready to ship when you need them.
Immunogen
Purified Laminin β1 from human placenta.
Application
Quality Control Testing
Evaluated by Western Blotting in HeLa cell lysate.
Western Blotting Analysis: A 1:1,000 dilution of this antibody detected Laminin β1 in HeLa cell lysate.
Tested Applications
Western Blotting Analysis: A 1:1,000 dilution from a representative lot detected Laminin β1 in NIH3T3 cell lysate.
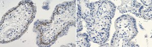
Immunohistochemistry (Paraffin) Analysis: A 1:100 dilution from a representative lot detected Laminin β1 in human placenta tissue sections.
Immunofluorescence Analysis: A 1:100 dilution from a representative lot detected Laminin β1 in human placenta tissue sections.
Note: Actual optimal working dilutions must be determined by end user as specimens, and experimental conditions may vary with the end user.
Evaluated by Western Blotting in HeLa cell lysate.
Western Blotting Analysis: A 1:1,000 dilution of this antibody detected Laminin β1 in HeLa cell lysate.
Tested Applications
Western Blotting Analysis: A 1:1,000 dilution from a representative lot detected Laminin β1 in NIH3T3 cell lysate.
Immunohistochemistry (Paraffin) Analysis: A 1:100 dilution from a representative lot detected Laminin β1 in human placenta tissue sections.
Immunofluorescence Analysis: A 1:100 dilution from a representative lot detected Laminin β1 in human placenta tissue sections.
Note: Actual optimal working dilutions must be determined by end user as specimens, and experimental conditions may vary with the end user.
Biochem/physiol Actions
Clone 4E10 is a ZooMAb® Mouse recombinant monoclonal antibody that specifically detects Laminin β1.
Physical form
Purified recombinant mouse monoclonal antibody IgG, lyophilized in PBS, 5% Trehalose, normal appearance a coarse or translucent resin. The PBS/trehalose components in the ZooMAb formulation can have the appearance of a semi-solid (bead like gel) after lyophilization. This is a normal phenomenon. Please follow the recommended reconstitution procedure in the data sheet to dissolve the semi-solid, bead-like, gel-appearing material. The resulting antibody solution is completely stable and functional as proven by full functional testing. Contains no biocide or preservatives, such as azide, or any animal by-products. Larger pack sizes provided as multiples of 25 µL.
Preparation Note
Recommend storage of lyophilized product at 2-8°C; Before reconstitution, micro-centrifuge vials briefly to spin down material to bottom of the vial; Reconstitute each vial by adding 25 µL of filtered lab grade water or PBS; Reconstituted antibodies can be stored at 2-8°C, or -20°C for long term storage. Avoid repeated freeze-thaws.
Reconstitute lyophilized antibody pellet with 25μL of ultrapure water or Phosphate Buffered Saline (PBS). Please refer to our reconstitution protocol and the specific application guidance on the suggested starting dilutions and sample type.
Legal Information
ZooMAb is a registered trademark of Merck KGaA, Darmstadt, Germany
Disclaimer
Unless otherwise stated in our catalog or other company documentation accompanying the product(s), our products are intended for research use only and are not to be used for any other purpose, which includes but is not limited to, unauthorized commercial uses, in vitro diagnostic uses, ex vivo or in vivo therapeutic uses or any type of consumption or application to humans or animals.
Still not finding the right product?
试用我们的 产品选型工具 工具缩小选择范围
存储类别
11 - Combustible Solids
wgk
WGK 1
flash_point_f
Not applicable
flash_point_c
Not applicable
法规信息
常规特殊物品
此项目有
全球贸易项目编号
| 货号 | GTIN |
|---|---|
| ZMS1128-4X25UL | 04065269195290 |
| ZMS1128-25UL | 04065269195283 |